Новый рентгеновский датчик упростит работу стоматологов в Петропавловске
- 28 августа 2024
- administrator

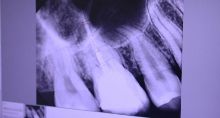
В Петропавловске-Камчатском в городскую стоматологическую поликлинику поступил новый рентгеновский датчик, который повысит точность диагностики и упростит работу врачей. Об этом сообщил заведующий городской стоматологией Денис Изюмский. «Новый рентгеновский датчик Vatech EzSensor HD 1.5. компактный, но высокоэффективный. Этот датчик значительно упростит работу врачей и улучшит диагностику, так как требует минимального уровня рентгеновского излучения. Основная функция датчика заключается в том, что полученное изображение передается на компьютерный монитор, а затем быстро распространяется по всем рабочим станциям. Это позволяет врачам проводить диагностику без задержек, что существенно экономит время. Устройство позволит проводить измерения и настраивать различные экспозиции, что улучшает работу специалистов. С высоким разрешением аппарата врачи могут выявлять даже самые мелкие дефекты, что повысит точность диагностики», - сообщил Денис Изюмский. В поликлинике активно исследуются новые технологии и методы лечения, диагностики и обследования. Радиовизиограф нового поколения основан на технологии CMOS APS (Active Pixel Sensor), что позволяет получать чёткие и контрастные изображения с высоким разрешением. Высокое качество снимков обеспечивает надежную диагностику и эффективное планирование лечения. Об этом сообщили ИА «Камчатка» в пресс-службе правительства края. Положительным опытом после прохождения процедуры поделился пациент Михаил. «Проходил обследование в стоматологической больнице с использованием нового рентгеновского датчика. Процедура прошла комфортно. Теперь возможно быстро пройти обследование, получить точный диагноз и сразу приступить к лечению. Рекомендую всем не бояться посещений стоматолога, ведь современные технологии делают процесс обследования безопасным», - рассказал Михаил. Отметим, оборудование было приобретено за счёт средств обязательного медицинского страхования.